假牙實例秀
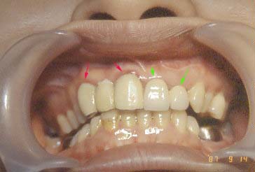
假牙與原來牙齒結合處的接縫是否精確緻密極為重要!
      若結合不密有漏縫會造成日後牙齦紅腫瘀情,即使在
      同一口腔內,好壞也會有明顯差異。

好的假牙在接合處,牙齦呈健康的粉紅色,因此不易
      發覺已裝上假牙。
 
  


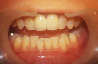
即使上顎僅剩一顆牙,也可做出實用美觀的活動假牙!
裝上前 >> 裝上後


原來牙齒有縫隙、反咬、重疊、傾斜等情形,做假牙修正!
修正前 >> 修正後


修正前 >> 修正後


修正前 >> 修正後


修正前 >> 經根管治療(抽神經)


裝上牙心柱 裝上牙套


裝上牙套 牙齒斷裂


經根管治療(抽神經)裝上牙心柱 裝上牙套


經根管治療(抽神經)裝上牙心柱 裝上牙套


裝上牙套咬合

經根管治療(抽神經)裝上牙心柱 裝上牙套


經根管治療(抽神經)裝上牙心柱 裝上牙套

 
    
原本牙齒如兔寶寶 經根管治療(抽神經)後切銷


裝上牙套 裝上牙套後實際外觀


以下實例為上排牙從原來發炎,腐蝕,斷裂.....等等.到上排牙全排固定牙橋完成的變化過程.




上排全部裝上牙套 左側面


右側面 正面


正面完成

以下實例為上下排牙,從原來磨損,齲齒,斷裂..等等.到上下排牙,全排固定牙橋完成的變化過程.


經根管治療(抽神經)裝上牙心柱 上排全部裝上牙套


下排試戴牙套內層鈦金屬 下排全部裝上牙套


上下排全部裝上牙套

以下為活動假牙的實例(包括咬合器的應用)






 
  
    
     
    
 
 
