The therapeutic solutions of the patient cases shown in this complication might , by some colleagues, be regarded as extreme , but it should then be remembered that the cases have been chosen to illustrate what is [ possible ] and what [ can ] be done, rather then what [ should ] be done.
Trying, what can be done on the edge gives greater freedom to act and broader treatment arsenal to both the clinician and the patient.高醫3D列印「自體牙移植」 用智齒補缺牙更相容
自體植牙
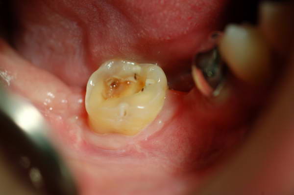
治療前 原來缺牙處
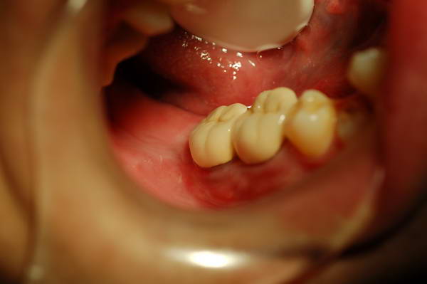
自體牙移植後
治療前 原來缺牙處
自體牙移植後







