固定式假牙
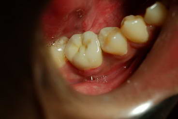
治療前
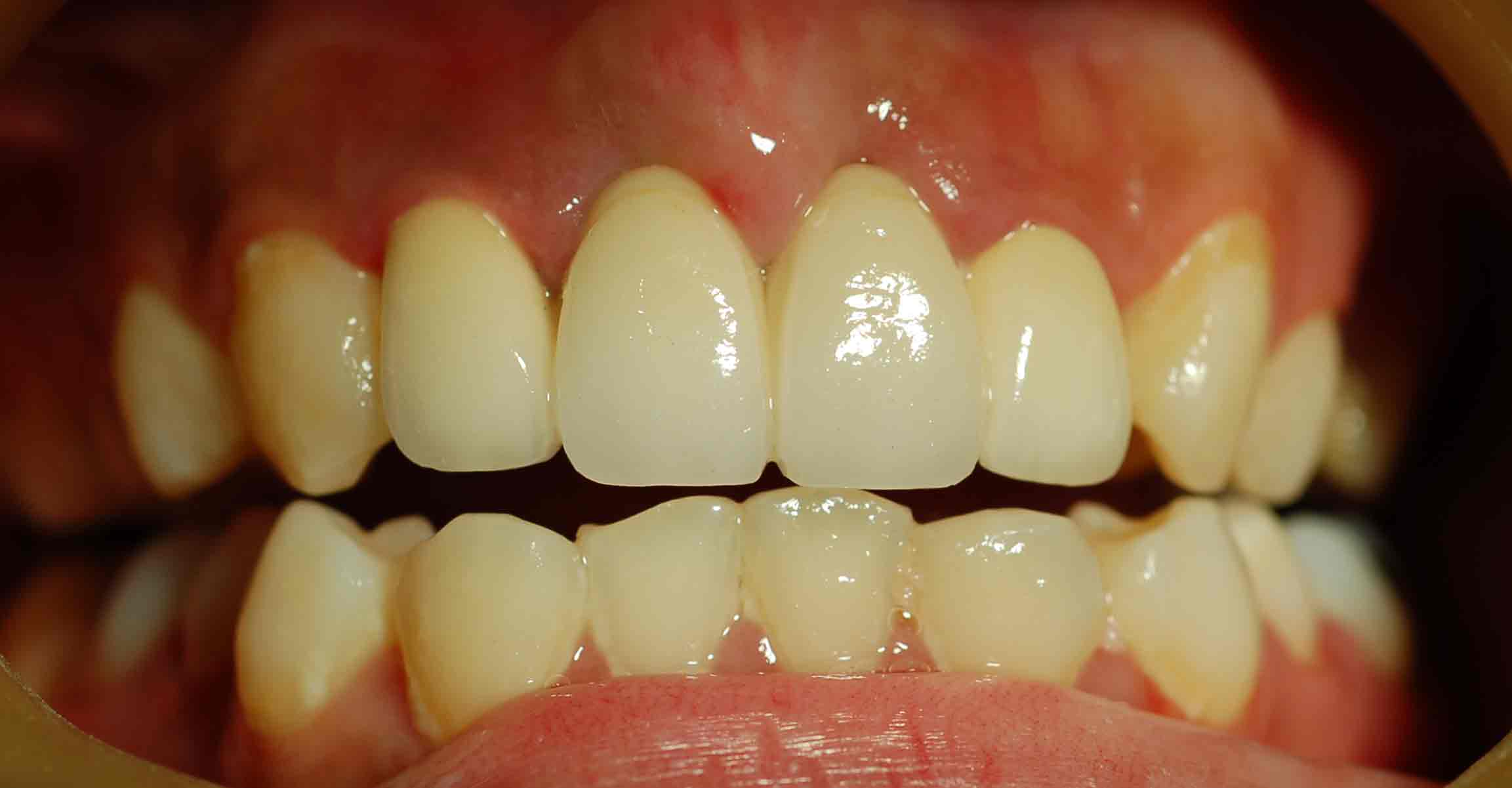
治療後
治療前
治療後
治療前
治療中
治療後 (固定牙橋)
治療前
治療中
治療後
案例1
治療前
治療後
案例2
治療前
治療後
治療前
治療後
案例3
治療前
治療後
案例4
治療前
治療後
案例5
治療前
治療後
案例6
治療前
![]()
治療後
案例7
治療前
![]()
治療中
治療後
案例7
治療前
治療後
案例8
治療前
治療後
案例9
治療前
治療後
案例10
治療前
治療後
案例11
治療前
治療後
案例12
治療前
治療後
案例13
治療前
治療後
案例14
治療前
治療後
案例15
治療前
治療後























