回首頁
人工植牙手術說明
人工牙根是由人體生物相容性高之材料(通常為鈦合金及氫氧磷酸鈣)製作而成的,它有不同的直徑及長度設計,以配合患者不同的局部條件選擇。透過人工植牙的手術,我們可以將一至數根人工牙根置入患者缺牙處之齒槽骨內,再經過4至6個月的骨癒合時間(視是否有做其它輔助性手術而定),再接受第二階段手術,暴露出所植入之人工牙根接頭,接下來就可以在其上製作假牙了(某些特殊設計之人工牙根,可以立即或提早製作假牙)。因此以往缺單顆牙的患者,只需植入單顆人工牙根,製作單顆假牙,而不必再犧牲二旁之健康牙。而以往因缺牙數過多而需製作活動式假牙患者,也可置入數顆人工牙根而有製作固定式假牙的希望。即使是全口無牙的患者,也可透過數根的人工牙根植入做為支持,即使日後製作活動式假牙時其穩定性亦提高不少。人工牙根雖然具有許多的優點,不過並非所有的患者都適合接受人工植牙手術,如齒槽骨吸收過低過窄、上顎骨鼻竇或下顎骨內之下齒槽神經過於接近齒槽骨脊、拔牙齒槽骨窩尚未完全骨生成等因素都會影響手術的成功率,甚至不適合接受手術;不過有些輔助性的手術,可以解決部分上述的困擾。
In the Matter of Hammers and Nails
人工植牙
![]()
![]()
治療前全口X光片
治療後全口X光片
治療前(下顎全口無牙,原有活動假牙,經常造成疼痛)
治療中(植入兩支植体做為支柱,使原有假牙牢固)
治療後(恢復美觀及功能)
治療後X光片
植牙手術所費不貲,對缺牙患者來說「貨比三家」著實重要;市面植牙價格琳琅滿目,1顆從3萬到10來萬都有;其實植牙價格取決於植體品牌、牙冠材質、醫師專業技術、甚至牽涉牙周相關治療。
植牙技術與時俱進,而植體與植牙材質的重要性卻沒有改變過。對很多民眾來說,在植牙流程中,最困難的是如何在眾多的植體與植牙材質中做選擇。目前國內植體分別有歐美、日韓及台灣本土等品牌,而植體價格的差異主要在於原物料的品質、加工的精密度等;以目前來說,歐美植體品牌,在多年的臨床使用下,成功案例多、在業界有一定的公信力,價格雖然較其他品牌稍貴,但患者也較不需擔心成為找不到維修套件的「植牙孤兒」。牙冠材質也是影響價格的一大原因,常見的牙冠材質可分為3種,分別是金屬假牙、金屬瓷牙和全瓷冠。金屬假牙雖然價格較低,但因美觀度不佳而逐漸被淘汰;全瓷冠外觀如同真牙,不必擔心金屬過敏或牙齦染色問題,相對價格也較高。
術前治療及手術方式也會影響植牙價格。患者若合併有牙周治療的需求;由於植牙就如同蓋房子,必須建立良好的齒槽骨地基,植牙才夠勞靠穩固。依據骨頭條件、口腔狀況、全身健康情形不盡相同,費用上也會有所差異;更隨著牙科技術革新,搭配各種數位化植牙方式,像是導航植牙等,也會影響療程費用。
植牙過程是一項需要精準細膩的手術,常見風險為上顎鼻竇穿孔、以及下顎神經損傷,通常失敗之後,二次植牙的困難度更高,建議第1次就要找尋專業醫師,並且不要落入價格迷思!
人工植牙的另類思考
There is nothing as complicated as the truth
治療前(門牙被拔除後,牙脊嚴重塌陷)
![]()
翻瓣後顯現齒槽骨嚴重凹陷
植入植體前,先把凹陷的齒槽骨撐起
植入植體,仍有凹陷不足
![]()
現場抽血,用離心機做好生長因子(L-PRF)(可促進骨質及牙齦生長)
以L-PRF加優質骨粉
凹陷不足處,以L-PRF加優質骨粉補平
![]()
六個月後,軟硬組織皆已增厚許多
![]()
完成美觀新門面
![]()
外觀整齊自然
本例治療前X光
![]()
治療後X光
![]()
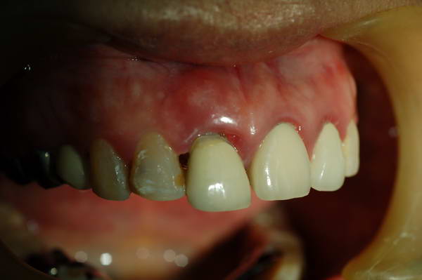
治療前(門牙斷裂,其中門牙已拔除。)
翻瓣後,刮清發炎的膿瘍,顯現齒槽骨V型凹陷
埋入植體,並覆蓋上骨粉及膠原再生膜
治療後,完成固定式假牙。
治療前X光片
治療後X光片
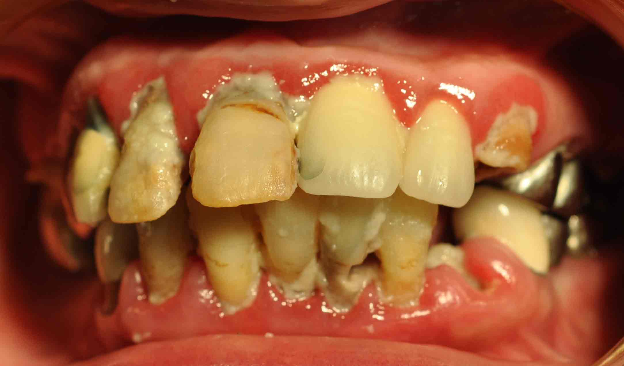
治療前(因為嚴重牙周病,原有假牙鬆脫,經常疼痛,無法進食)
治療中(植入兩支植体做為支柱,使活動假牙牢固)
治療後(恢復美觀及功能)
治療前外型
治療後外型
車禍案例
治療前(門牙因車禍 撞斷脫落拔除)
治療後(恢復美觀及功能)
治療中(翻瓣發現 拔牙處窩洞很大 頰側骨很薄且上端凹陷)
治療中(使用優質骨粉加自體骨加 鈦金屬 不可吸收性再生膜 填補)
治療中(經6個月後 取出鈦金屬再生膜 檢視)
治療中(確定達成完美的人工骨粉與自體骨粉完全整合再生新骨
治療前X光片
治療後X光片
車禍案例
治療前(門牙因車禍外傷,造成牙齒斷裂門牙被拔除,且斷裂的牙有根尖膿腫。)
治療後 (使原來外突的門牙,重建成平整美觀,及恢復其功能!)
治療前X光片
![]()
治療中 (1.手術翻開後,發現斷裂的不只牙齒,竟連齒槽骨也斷裂突起移位,使牙根裸露!)
2.加入高品質骨粉+生長因子+富充血小板血漿{皆抽血,用離心機,現場做}+鈦金屬網 -以期促進骨整合,長成新骨!
3.斷裂的牙做根管治療+牙心柱-再重新塑形,使原本外突的門牙變為平整美觀)
治療前全口X光片
治療後全口X光片
案例 00
治療前
治療中
治療後
治療前全口X光片
治療後全口X光片
治療前
治療後
治療前X光片
治療後X光片
治療前
治療後
治療中(使用優質骨粉加自體骨加 鈦金屬 不可吸收性再生膜 填補)
治療中(經6個月後 取出鈦金屬再生膜 檢視確定達成完美的人工骨粉與自體骨完全整合再生新骨)
治療前X光片
治療後X光片
治療前
治療前全口X 光片
治療中
治療中
治療後
治療前
治療中
治療後
治療前
治療中
治療後
治療前
治療中
治療後
治療前
治療中
治療後
案例1
治療前
治療中
治療後
案例2
治療前
治療中
治療後
案例3
治療前
治療中
治療後
回頁首
案例4
治療前
治療中
治療後
案例5
治療前
治療中(將第三大臼齒前移到第二大臼齒的位置)
治療後
案例6
治療前
治療中
治療後
案例7
治療前
治療中
治療後
Today’s arsenal of therapeutics makes the choice of best treatment strategy for the individual patient very sophisticated, and trying periodontal therapy may not match the high levels of success of treatment with implants.
案例8
治療前
治療中
治療後
案例9
治療前
治療中
治療後
案例10
治療前
治療中
治療後
案例11
治療前
治療中
治療後
案例12
治療前
治療中
治療後
案例13
治療前
治療中
治療後
案例14
治療前
治療中
治療後
案例15
治療前
治療中
治療後
案例16
治療前
治療中
治療後
案例18
治療前
治療中
治療後
案例19
治療前
治療中
治療後
案例20
治療前
治療中
治療後
案例21
治療前
治療中
治療後
案例22
治療前
治療中
治療後
案例23
治療前
治療中
治療後
案例24
治療前
治療中
治療後
案例25
治療前
治療中
治療後
案例26
治療前
治療中
治療後
案例27
治療前
治療中
治療後
案例28
治療前
治療中
治療後
案例 29
治療前
治療中
治療後
案例 30
治療前
治療中
治療後
















































































































