全瓷牙冠

全瓷牙冠製作叁考

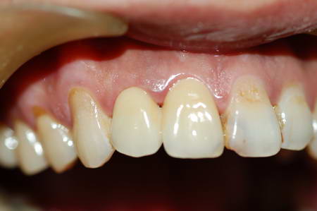
治療前

治療後

 

案例1

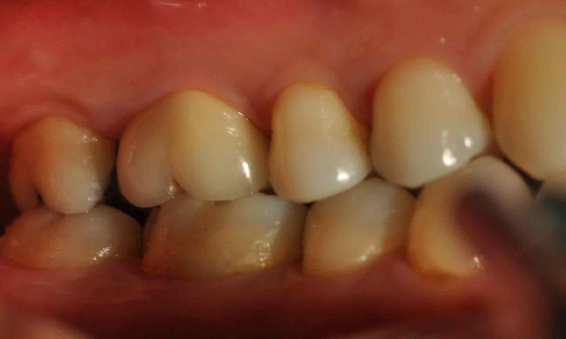
治療前

 

治療一年後

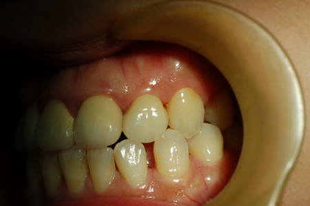
治療前

治療後

治療前

治療後

治療前

治療後


案例2

治療前

治療後


案例3

治療前

治療後


案例4

治療前

治療後


案例5

治療前

治療後


 


案例7

治療前

治療後


案例8

治療前

治療後


案例9

治療前

治療後


案例9

治療前

治療中

治療後

 

回頁首 回首頁